Bist 100
8.991,6 0%
DOLAR
31,96 -0,29%
EURO
34,49 -0,2%
ALTIN
2.322,44 -0,7%

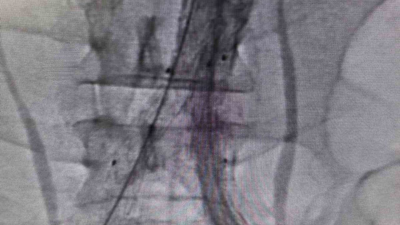
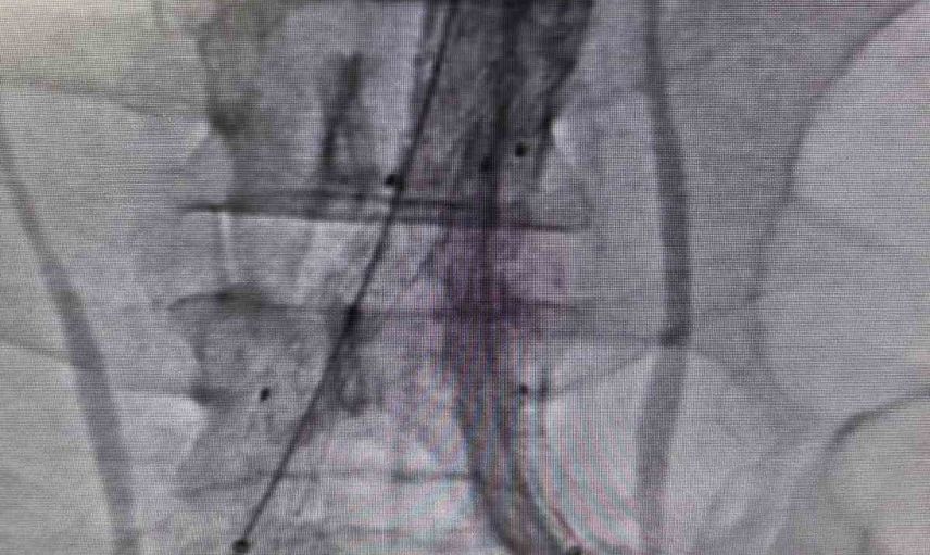
Bilecik’te Hayati Kapalı Damar Operasyonu

Bilecik’te bir hastada tespit edilen damar yırtılması, kapalı yöntemle başarıyla onarıldı. Erken tanı hayat kurtardı.

Yayın Tarihi: 05.01.2026 11:39
Güncelleme Tarihi: 05.01.2026 11:39

Bilecik’te Hayati Kapalı Damar Operasyonu

Bilecik’te Hayat Kurtaran Kapalı Damar Operasyonu

Bilecik’te, şiddetli sırt ve karın ağrısı şikâyetiyle hastaneye gelen bir vatandaşın, yapılan tetkiklerinde ana atardamarında ciddi bir yırtık tespit edildi. Bu durum, acil müdahaleyi gerektiren hayati bir tehlikeydi.

Hastane Süreci ve Tanı

Bilecik Eğitim ve Araştırma Hastanesi’nde tedavi altına alınan 39 yaşındaki Mehmet D., önceden farklı sağlık kuruluşlarına başvurdu fakat kesin bir tanı elde edememişti. Acil servisinde yapılan detaylı tetkiklerle kalpten çıkan ana damarın iç duvarındaki yırtılma belirlenerek, hasta kalp ve damar cerrahisi ekibi tarafından değerlendirildi.

Kapalı Yöntemle Tedavi

Kalp ve Damar Cerrahisi Uzmanı Op. Dr. Elmas Üreyen’in yönettiği ekip, hastayı kapalı yöntemle tedavi etmeye karar verdi. Bu işlemde, yırtılan damarın içine özel bir stent yerleştirildi ve damar içten onarıldı. Açık ameliyat gerektirmeyen bu yöntem, hastanın daha hızlı iyileşmesini sağladı.

Hastanın Durumu ve Kontrolleri

Tedavi sonrası yakından izlenen hastanın, ağrılarının tamamen geçtiği ve genel sağlık durumunun iyi olduğu belirlendi. Kontrollerinin sorunsuz geçmesi üzerine, hasta sağlıklı bir şekilde taburcu edildi.

Uzmanın Açıklamaları

Op. Dr. Elmas Üreyen, konuya ilişkin yaptığı açıklamada, "Bu tür damar yırtılmaları ani gelişebilir ve zamanında müdahalede bulunulmazsa hayati risk taşıyabilir. Hastamızda erken tanı koyarak kapalı yöntemle müdahale ettik. Bu işlem sayesinde hastanın iyileşme süreci hızlandı ve günlük yaşamına çabuk dönebildi. Hastanemizdeki ileri teknoloji tıbbi cihazlar ve deneyimli hekim ekibiyle, yüksek riskli damar hastalıklarının tanı ve tedavisini başarıyla gerçekleştiriyoruz. Kapalı yöntemlerle uygulanan tedaviler, hastalara daha konforlu bir süreç sunmakta ve iyileşme sürelerini önemli ölçüde kısaltmaktadır," dedi.

BİLECİK'TE HAYAT KURTARAN KAPALI DAMAR TEDAVİSİ

BİLECİK'TE HAYAT KURTARAN KAPALI DAMAR TEDAVİSİ

BİLECİK'TE HAYAT KURTARAN KAPALI DAMAR TEDAVİSİ