
Elazığ'da Yaşanan İlginç Olay
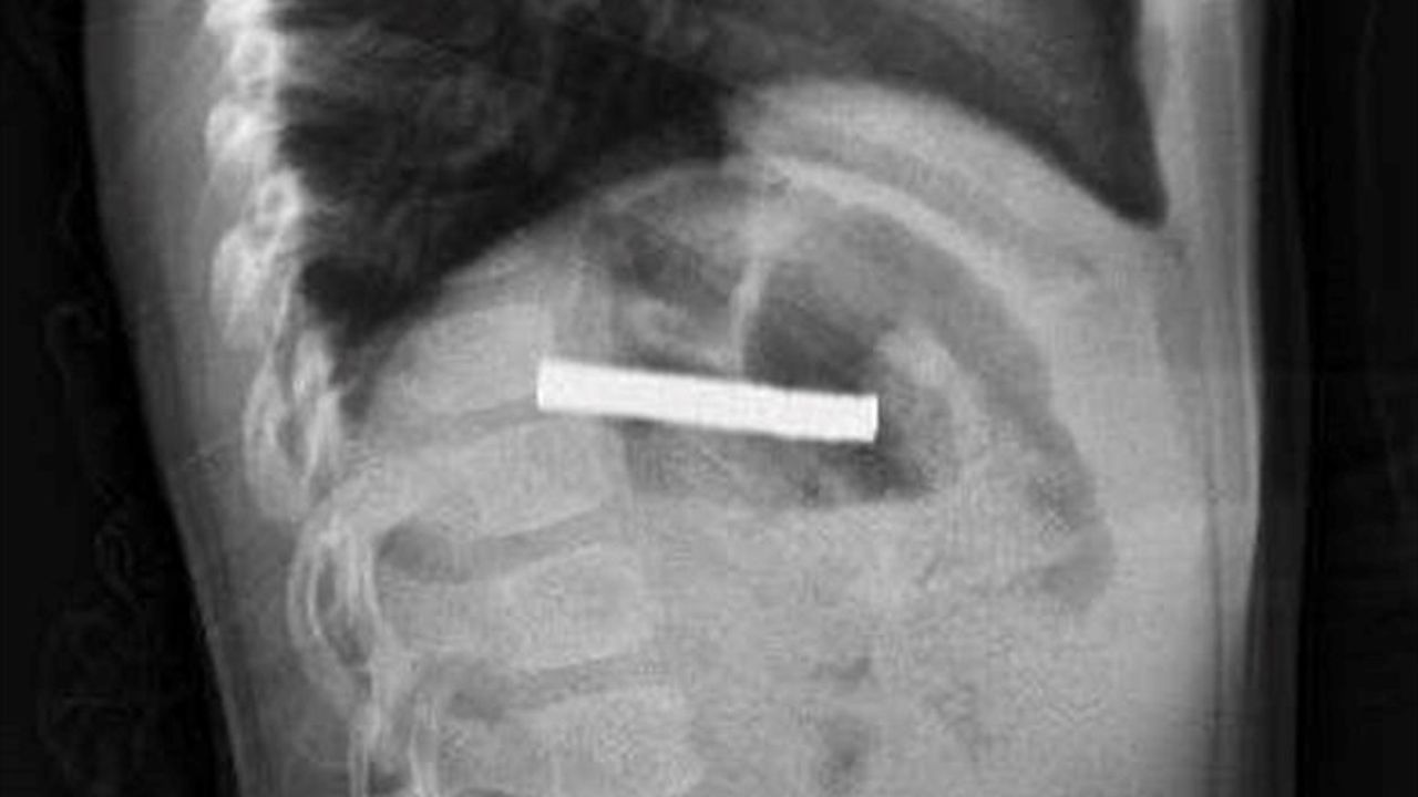
Elazığ'da 3 yaşındaki bir çocuk, oyun oynadığı sırada bulduğu 19 mıknatısı yuttuktan sonra rahatsızlanarak hastaneye kaldırıldı. Bu durum, Fırat Üniversitesi Hastanesi'nde gerçekleştirilen başarılı bir operasyonla son buldu.
İlk Müdahale ve Sevk Süreci
Alınan bilgilere göre, çocuğun yemek borusunu tıkayan mıknatıslar nedeniyle ilk olarak Erzurum Şehir Hastanesi'ne sevk edildi. Burada yapılan tetkiklerin ardından, çocuğun durumu acil olduğu gerekçesiyle ambulans helikopterle Fırat Üniversitesi Hastanesi'ne gönderildi.
Başarılı Operasyon ve Doktorun Açıklamaları
Fırat Üniversitesi Çocuk Gastroenteroloji Hepatoloji ve Beslenme Bilim Dalı Başkanı Prof. Dr. Yaşar Doğan, burada yaptığı muayenelerde mıknatısların çocuğun yemek borusunu tıktığını belirledi. Doğan ve ekibi, çocuğun yemek borusundaki mıknatısları çıkarırken, işlem sırasında bazı hasarların oluştuğunu ancak iyi bir müdahale ile durumun kontrol altına alındığını ifade etti. "Mıknatıslar, hastanın midesine alındı ve oradan özel bir file ile çıkarıldı. İşlemden sonra çocuğu gözlem altında tuttuk ve sabah aile kendi isteğiyle taburcu olmak istedi," dedi.
Ailelere Öneriler
Prof. Dr. Doğan, küçük çocukların erişim alanlarında küçük nesnelerin bulundurulmaması gerektiğini belirterek, bu tür nesnelerin çocuklar için tehlike oluşturabileceğine dikkat çekti.
Elazığ'da 3 yaşındaki çocuğun yuttuğu ve yemek borusunu tıkayan 19 mıknatıs, Fırat Üniversitesi Hastanesi'nde yapılan başarılı bir operasyonla çıkarıldı.