Bist 100
8.991,6 0%
DOLAR
31,96 -0,29%
EURO
34,49 -0,2%
ALTIN
2.322,44 -0,7%

Kalpteki Gizli Delikler Hayati Tehdit Ediyor

Radyoloji uzmanı Prof. Dr. Nevzat Karabulut, kalpteki deliklerin yaratabileceği riskleri araştırdı.

Yayın Tarihi: 07.01.2026 08:49
Güncelleme Tarihi: 07.01.2026 08:49

Kalpteki Gizli Delikler Hayati Tehdit Ediyor

Kritik Bulgulara İmza Attı

Özel Denizli Tekden Hastanesi'nde önemli çalışmalara imza atan Radyoloji Uzmanı Prof. Dr. Nevzat Karabulut, kalpteki gizli deliklerin hayatı tehdit eden paradoks emboliye neden olabileceğini ortaya koydu.

Uluslararası Bir Araştırma

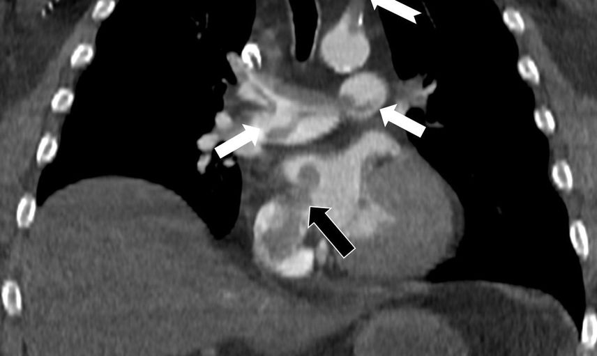
Kalp ve akciğer görüntülemesi konusundaki uluslararası bilimsel çalışmaları ile dikkat çeken Prof. Dr. Karabulut, Radiology dergisinin 2025 Kasım sayısında "Paradoxical Embolism with Clot-in-Transit in Atrial Septal Defect" başlıklı çalışmasını yayımladı. Bu çalışmada, penis ameliyatı sonrası ani göğüs ağrısı, nefes darlığı ve kol uyuşması şikayetiyle hastaneye başvuran 60 yaşındaki bir bireyde tespit edilen daha önce fark edilmemiş kalp odacıkları arasındaki delikten geçen pıhtının ciddi bir risk taşıdığına dikkat çekildi.

Pıhtı Riskleri ve Gözlemler

Prof. Dr. Karabulut'un yaptığı incelemeler, akciğerin bilgisayarlı tomografi anjiyografisi sayesinde toplardamarlardan kaynaklanan pıhtının akciğer damarlarını tıkaması ve kalpteki delik nedeniyle kalbin sağ tarafından sol tarafına geçerek ana atardamara ulaştığı gibi durumları ele aldı. Bu durum, sol kol damarını tıkayarak hayatı tehdit eden sonuçlara yol açabileceğini gösterdi.

Erken Tanının Önemi

Emboli görüntülemesi üzerine birçok çalışması bulunan Prof. Dr. Karabulut, bacak damarlarından kaynaklanan pıhtıların ölümcül akciğer embolisine neden olabileceğini belirtirken, kalp deliği olan hastalarda da pıhtının diğer vücut bölgelerine (beyin, kol ve bacak) geçiş yaparak ani damar tıkanmasına yol açabileceğini vurguladı. Çalışmasında, nedeni bilinmeyen pıhtı atmalarında kalpteki gizli deliklerin mutlaka araştırılması gerektiğine dikkat çekti ve ekokardiyografi ile bilgisayarlı tomografi tetkiklerinin erken ve doğru tanı koymadaki hayati önemine değindi.

ÖZEL DENİZLİ TEKDEN HASTANESİ’NDE GÖREV YAPTIĞI DÖNEMDE DE BAŞARILI ÇALIŞMALARA İMZA ATAN...

ÖZEL DENİZLİ TEKDEN HASTANESİ’NDE GÖREV YAPTIĞI DÖNEMDE DE BAŞARILI ÇALIŞMALARA İMZA ATAN RADYOLOJİ UZMANI PROF. DR. NEVZAT KARABULUT, KALPTEKİ GİZLİ DELİKLERİN HAYATI TEHDİT EDEN PARADOKS EMBOLİYE NEDEN OLABİLDİĞİNİ ORTAYA KOYDU.

ÖZEL DENİZLİ TEKDEN HASTANESİ’NDE GÖREV YAPTIĞI DÖNEMDE DE BAŞARILI ÇALIŞMALARA İMZA ATAN...