Bist 100
8.991,6 0%
DOLAR
31,96 -0,29%
EURO
34,49 -0,2%
ALTIN
2.322,44 -0,7%

Kayseri'de uyuşturucu taşıyan şahıslar yakalandı

Midelerinde uyuşturucu bulunduran üç kişi Kayseri'de gözaltına alındı.

Yayın Tarihi: 09.12.2025 10:59
Güncelleme Tarihi: 09.12.2025 10:59

Kayseri'de uyuşturucu taşıyan şahıslar yakalandı

Kayseri'de Uyuşturucu Operasyonu

Kayseri İl Emniyet Müdürlüğü ekipleri, İran'dan Türkiye'ye uyuşturucu getiren şüphelilere yönelik başarılı bir operasyon gerçekleştirdi.

Operasyon Detayları

Alınan bilgiye göre, Narkotik Suçlarla Mücadele Şube Müdürlüğü tarafından uluslararası uyuşturucu madde ticareti yapan kuryelere yönelik olarak yürütülen operasyon kapsamında, İran'dan Türkiye'ye uyuşturucu madde getirdiği saptanan şüphelilere müdahale edildi. S.C., R.B.C. ve G.M. isimli şahıslar operasyon sonucunda yakalandı.

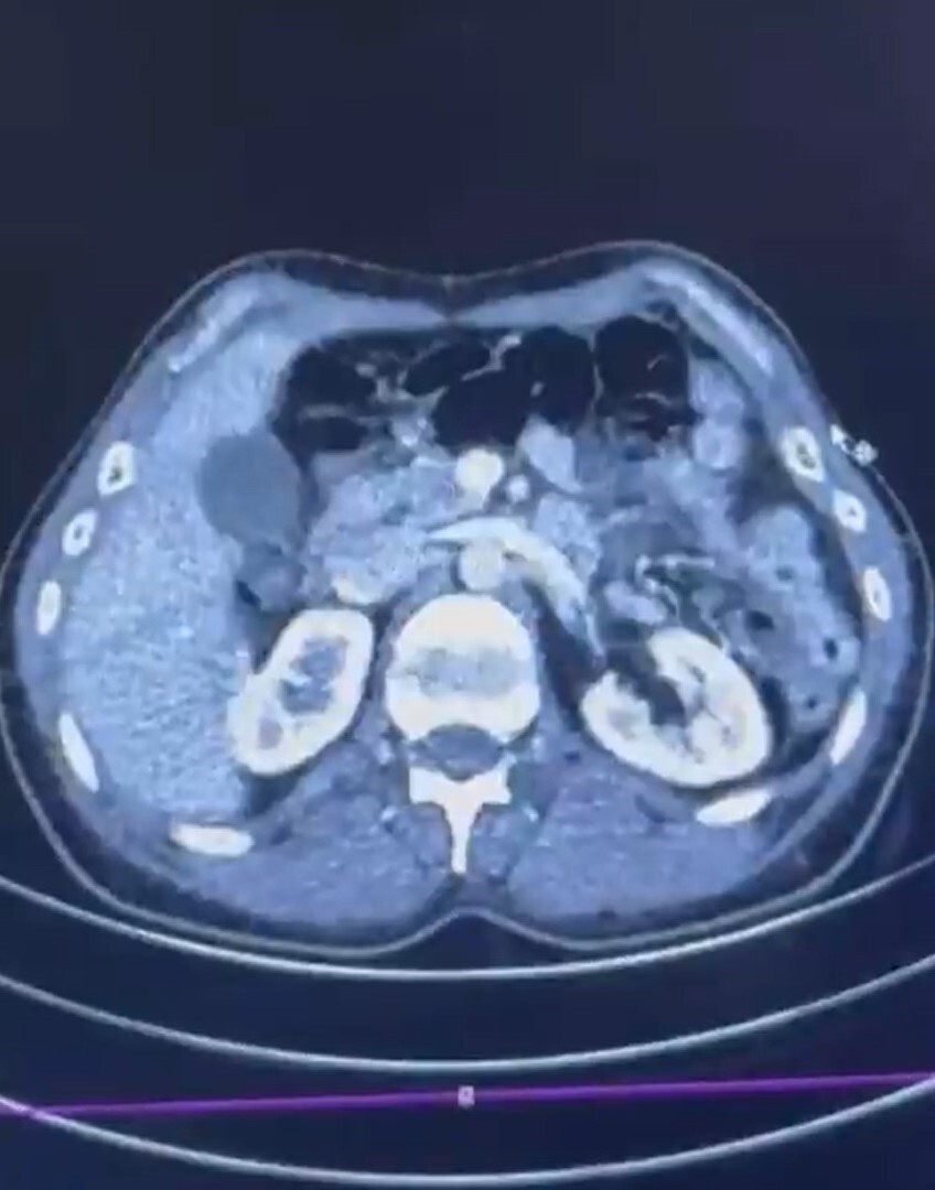
Ele Geçirilen Uyuşturucu

Kayseri Şehir Hastanesi'nde yapılan iç beden muayenelerinde, S.C. ve R.B.C. isimli şahısların mide kısımlarında toplam 50 adet kapsül şeklinde toplamda 554 gram uyuşturucu madde bulundu.

Gözaltı ve Süreç

Yakalanan şüpheliler gözaltına alınarak, 'Uyuşturucu Madde Ticareti Yapmak' suçlamasıyla işlem başlatıldı.

Emniyetten Açıklama

Kayseri İl Emniyet Müdürlüğü tarafından yapılan açıklamada, "Uyuşturucu ve uyarıcı madde satıcılarına karşı yürüttüğümüz mücadele aralıksız ve kararlı bir şekilde devam edecektir" ifadelerine yer verildi.

ŞÜPHELİLERİN MİDESİNDE KAPSÜL ŞEKLİNDE YARIM KİLO UYUŞTURUCU MADDE ELE GEÇİRİLDİ.

ŞÜPHELİLERİN MİDESİNDE KAPSÜL ŞEKLİNDE YARIM KİLO UYUŞTURUCU MADDE ELE GEÇİRİLDİ.